So you’re thinking, what’s the big deal, right? I mean many of us carry extra weight, it’s just part of life… isn’t it? As someone who is by no means a skinny cat, it is a big deal. There are many side effects to carrying access weight that we don’t tend to think about. As a human it is hard to shed those access pounds, we have to exert our own self-control, which can be so tough with the onslaught of delicious food choices and a busy, often sedentary life style.
Our cats on the other hand are at our mercy – we control the food. We can control how much and when they get to eat. Unfortunately many of us grew up thinking you just pour food in a bowl, walk away and do it again when the bowl gets low or (God forbid) empty! If you currently feed your cat this way I want you to do a self-test:
	- Measure how much food you tend to pour in the bowl (is it half a cup, a whole cup, two cups?)
- Pay attention to how long it takes for the bowl to be empty (half a day, a whole day, several days)
- Now mark down how many pets eat out of that bowl
- Calculate who ate how much per day
- Example: there is 2 cups and it takes a day and a half for the bowl to be empty with one cat eating out of it: approx. 1 and 1/3 cup eaten per day
So how did you fair? Is there more than one animal eating from the bowl? Did you realize you have no way of knowing who ate how much? Often when there is more than one eating from the same dish you tend to have a heavy cat and a slim cat. It is obvious who is getting more, the question is, is the slim one getting enough?
Did you know on average a cat should eat only 1/2 cup (240-250 calories) PER DAY! If you have discovered that indeed you either don’t know how much your cat is eating or they are definitely eating too much, don’t fret. One of our Nutrition Consultants will gladly assist you with transitioning to meal feeding and finding the right amount of food for your particular pet.
Now, let’s look at what the extra food, creating the fat, is doing to the body;

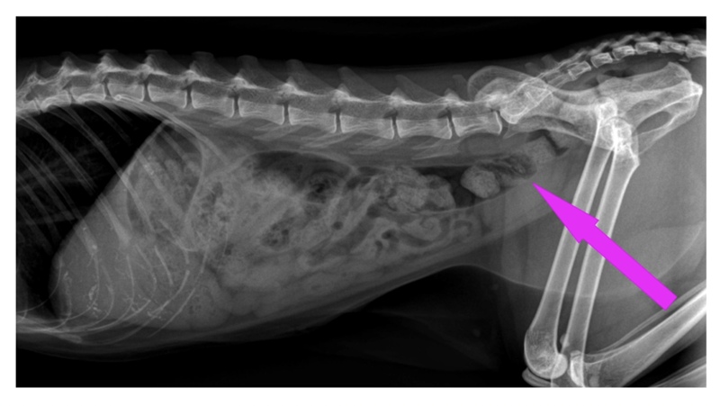
The red arrows indicate two areas of fat pockets (there is more below the pink arrow, however we aren’t as concerned with that for the purpose of this blog). Notice the compression on the stomach, intestines and colon (plus the other organs above and beside those are hard to even see). Also note that the fat pockets will also be pushing into the chest cavity compressing the area available for the heart and lungs.
The pink arrow indicates the colon which has an uphill “S” shape making it so that the body has to work harder to move fecal matter out. This is part of why overweight cats often have issues with constipation.
Looking at this x-ray it may not seem too bad, but let’s compare to a cat that is at a nice lean weight:
 Notice how the stomach, intestines and colon are able to spread out in the body cavity. Plus we can see other organs we couldn’t see on the previous x-ray. The pink arrow here shows the colon again. This time you can see that it makes almost a direct straight path out causing no extra work or strain to defecate.
Notice how the stomach, intestines and colon are able to spread out in the body cavity. Plus we can see other organs we couldn’t see on the previous x-ray. The pink arrow here shows the colon again. This time you can see that it makes almost a direct straight path out causing no extra work or strain to defecate.
Aside from cats, dogs would also have issues with excess fat causing strain on the organs in the body. For both species fat pushing on the lungs and heart mean that both have to work harder. Often pets that are overweight have difficulty breathing. In dogs you notice they pant more. Think of it is this way: in the heat we often have issues breathing, we find the air heavy on the lungs. Now imagine not only breathing that heavy air but that your lungs are unable to expand fully. Breath is more rapid and shallow – you can’t get that nice deep breath.
The good part is that, because as mentioned at the beginning, we control the food, it is easier to work to get your pet to lose weight than it is to do so for ourselves. There are some fantastic diets available in-clinic that help to increase metabolism of your pet without needing to decrease the amount of food they eat. There are also other store brands that are reduced in fat and calorie content to help, if not lose weight, at least prevent the further gain of weight. Plus there are easy ways to increase the activity of your pet to help burn off that access weight. Yes, even your cat can increase activity at home to loss weight. See Amaya’s success video.
When deciding to proceed with a weight loss plan, keep in mind loss should be gradual. Losing weight too quickly for a pet can be detrimental to their health. Seek guidance from your veterinarian: contact us to make an appointment or to speak to one of our Nutrition Consultants today.